Encephalitozoonosis (canine)
| dc.contributor.author | Unknown | |
| dc.contributor.email | leon.prozesky@up.ac.za | en |
| dc.contributor.other | University of Pretoria. Faculty of Veterinary Science. Dept. of Paraclinical Sciences. Section of Pathology | |
| dc.coverage.spatial | Africa | en |
| dc.coverage.spatial | South Africa | en |
| dc.date.accessioned | 2009-06-30T07:47:50Z | |
| dc.date.available | 2009-06-30T07:47:50Z | |
| dc.date.issued | 2009-06-30T07:47:50Z | |
| dc.description | RGB true colour photo. Original scanned size: JPEG, 200-300 dpi. Final web-ready size: 150 ppi. Original TIFF file housed at the Dept. Pathology, University of Pretoria. | en |
| dc.description | Photo 1: Original document size: (w)5.42 x(h)4.06 cm., 93.5 kb, 300 ppi. Final web-ready size: 57.18 kb. Estimated download time: 21 sec. @ 28.8 kbps. | en |
| dc.description | Photo 2: Original document size: (w)5.42 x(h)4.06 cm., 80.7 kb, 300 ppi. Final web-ready size: 51.54 kb. Estimated download time: 19 sec. @ 28.8 kbps. | en |
| dc.description | Photo 3: Original document size: (w)5.42 x(h)4.06 cm., 138 kb, 300 ppi. Final web-ready size: 82.17 kb. Estimated download time: 30 sec. @ 28.8 kbps. | en |
| dc.description | Photo 4: Original document size: (w)5.42 x(h)4.06 cm., 78.8 kb, 300 ppi. Final web-ready size: 50.78 kb. Estimated download time: 19 sec. @ 28.8 kbps. | en |
| dc.description | Photo 5: Original document size: (w)5.42 x(h)4.06 cm., 105 kb, 300 ppi. Final web-ready size: 66.03 kb. Estimated download time: 24 sec. @ 28.8 kbps. | en |
| dc.description | Photo 6: Original document size: (w)5.42 x(h)4.06 cm., 69.6 kb, 300 ppi. Final web-ready size: 44.5 kb. Estimated download time: 17 sec. @ 28.8 kbps. | en |
| dc.description | Photo 7: Original document size: (w)5.42 x(h)4.06 cm., 96.6 kb, 300 ppi. Final web-ready size: 62.19 kb. Estimated download time: 23 sec. @ 28.8 kbps. | en |
| dc.description | Light micrograph | en |
| dc.description | Metadata assigned by Prof JA Lawrence, Emeritus: Dept. of Paraclinical Sciences, Section of Pathology. | en |
| dc.description.abstract | Images of post-mortem cases captured during 1979 - 1989. Departmental references to images uploaded with photo titles indicated the macroscopic lesion (PM) or microscopic slide (S), case number and year. | en |
| dc.format.medium | Colour photo | en |
| dc.identifier.uri | http://hdl.handle.net/2263/10556 | |
| dc.rights | ©University of Pretoria. Dept. of Paraclinical Sciences, Section of Pathology (Original and digital). Provided for educational purposes only. It may not be downloaded, reproduced or distributed in any format without written permission of the original copyright holder. Any attempt to circumvent the access controls placed on this file is a violation of copyright laws and is subject to criminal prosecution. Please contact the collection administrator for copyright issues. | en |
| dc.source | Original format: University of Pretoria, Faculty of Veterinary Science. | en |
| dc.subject | Intracellular parasite | en |
| dc.subject | Dogs | en |
| dc.subject | Heart | en |
| dc.subject | Kidney | en |
| dc.subject | Liver | en |
| dc.subject | Encephalitozoon cuniculi | en |
| dc.subject | Inflammation | en |
| dc.subject | Microscopic | en |
| dc.subject.lcsh | Veterinary pathology -- South Africa | en |
| dc.subject.lcsh | Nosema cuniculi | en |
| dc.title | Encephalitozoonosis (canine) | en |
| dc.type | Still Image | en |
Files
Original bundle
1 - 5 of 7
Loading...
- Name:
- 00695.jpg
- Size:
- 57.2 KB
- Format:
- Joint Photographic Experts Group/JPEG File Interchange Format (JFIF)
- Description:
- Photo 1: Encephalitozoon sp. colony in myocardium (S2224/85)
Loading...
- Name:
- 00696.jpg
- Size:
- 51.56 KB
- Format:
- Joint Photographic Experts Group/JPEG File Interchange Format (JFIF)
- Description:
- Photo 2: Encephalitozoon sp. colony in myocardium. Gram stain (S2224/85)
Loading...
- Name:
- 00734.jpg
- Size:
- 82.19 KB
- Format:
- Joint Photographic Experts Group/JPEG File Interchange Format (JFIF)
- Description:
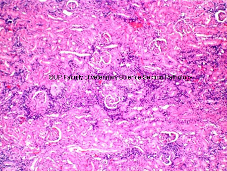
- Photo 3: Interstitial lymphoplasmacytic nephritis in renal cortex (S1531/89)
Loading...
- Name:
- 00737.jpg
- Size:
- 50.8 KB
- Format:
- Joint Photographic Experts Group/JPEG File Interchange Format (JFIF)
- Description:
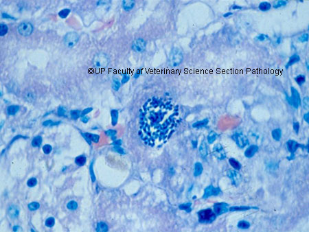
- Photo 4: Encephalitozoon sp. colony in kidney. Giemsa stain (S1531/89)
Loading...
- Name:
- 03162.jpg
- Size:
- 66.04 KB
- Format:
- Joint Photographic Experts Group/JPEG File Interchange Format (JFIF)
- Description:
- Photo 5: Interstitial lymphoplasmacytic myocarditis (S1625/79)
License bundle
1 - 1 of 1
Loading...
- Name:
- license.txt
- Size:
- 2.44 KB
- Format:
- Item-specific license agreed upon to submission
- Description:
