Encephalitozoonosis (canine)
Loading...
Authors
Unknown
Journal Title
Journal ISSN
Volume Title
Publisher
Abstract
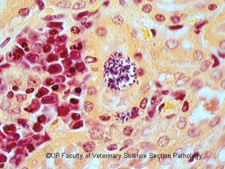
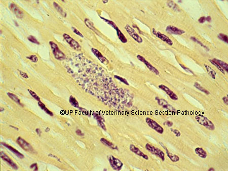
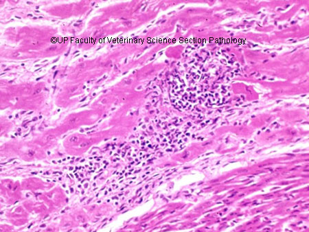
Images of post-mortem cases captured during 1979 - 1989. Departmental references to images uploaded with photo titles indicated the macroscopic lesion (PM) or microscopic slide (S), case number and year.
Description
RGB true colour photo. Original scanned size: JPEG, 200-300 dpi. Final web-ready size: 150 ppi. Original TIFF file housed at the Dept. Pathology, University of Pretoria.
Photo 1: Original document size: (w)5.42 x(h)4.06 cm., 93.5 kb, 300 ppi. Final web-ready size: 57.18 kb. Estimated download time: 21 sec. @ 28.8 kbps.
Photo 2: Original document size: (w)5.42 x(h)4.06 cm., 80.7 kb, 300 ppi. Final web-ready size: 51.54 kb. Estimated download time: 19 sec. @ 28.8 kbps.
Photo 3: Original document size: (w)5.42 x(h)4.06 cm., 138 kb, 300 ppi. Final web-ready size: 82.17 kb. Estimated download time: 30 sec. @ 28.8 kbps.
Photo 4: Original document size: (w)5.42 x(h)4.06 cm., 78.8 kb, 300 ppi. Final web-ready size: 50.78 kb. Estimated download time: 19 sec. @ 28.8 kbps.
Photo 5: Original document size: (w)5.42 x(h)4.06 cm., 105 kb, 300 ppi. Final web-ready size: 66.03 kb. Estimated download time: 24 sec. @ 28.8 kbps.
Photo 6: Original document size: (w)5.42 x(h)4.06 cm., 69.6 kb, 300 ppi. Final web-ready size: 44.5 kb. Estimated download time: 17 sec. @ 28.8 kbps.
Photo 7: Original document size: (w)5.42 x(h)4.06 cm., 96.6 kb, 300 ppi. Final web-ready size: 62.19 kb. Estimated download time: 23 sec. @ 28.8 kbps.
Light micrograph
Metadata assigned by Prof JA Lawrence, Emeritus: Dept. of Paraclinical Sciences, Section of Pathology.
Photo 1: Original document size: (w)5.42 x(h)4.06 cm., 93.5 kb, 300 ppi. Final web-ready size: 57.18 kb. Estimated download time: 21 sec. @ 28.8 kbps.
Photo 2: Original document size: (w)5.42 x(h)4.06 cm., 80.7 kb, 300 ppi. Final web-ready size: 51.54 kb. Estimated download time: 19 sec. @ 28.8 kbps.
Photo 3: Original document size: (w)5.42 x(h)4.06 cm., 138 kb, 300 ppi. Final web-ready size: 82.17 kb. Estimated download time: 30 sec. @ 28.8 kbps.
Photo 4: Original document size: (w)5.42 x(h)4.06 cm., 78.8 kb, 300 ppi. Final web-ready size: 50.78 kb. Estimated download time: 19 sec. @ 28.8 kbps.
Photo 5: Original document size: (w)5.42 x(h)4.06 cm., 105 kb, 300 ppi. Final web-ready size: 66.03 kb. Estimated download time: 24 sec. @ 28.8 kbps.
Photo 6: Original document size: (w)5.42 x(h)4.06 cm., 69.6 kb, 300 ppi. Final web-ready size: 44.5 kb. Estimated download time: 17 sec. @ 28.8 kbps.
Photo 7: Original document size: (w)5.42 x(h)4.06 cm., 96.6 kb, 300 ppi. Final web-ready size: 62.19 kb. Estimated download time: 23 sec. @ 28.8 kbps.
Light micrograph
Metadata assigned by Prof JA Lawrence, Emeritus: Dept. of Paraclinical Sciences, Section of Pathology.
Keywords
Intracellular parasite, Dogs, Heart, Kidney, Liver, Encephalitozoon cuniculi, Inflammation, Microscopic
