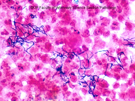
Nocardiosis
Loading...
Authors
Unknown
Journal Title
Journal ISSN
Volume Title
Publisher
Abstract
Images of post-mortem cases captured during 1985 - 1996. Departmental references to images uploaded with photo titles indicated the macroscopic lesion (PM) or microscopic slide (S), case number and year.
Description
RGB true colour photo. Original scanned size: JPEG, 200-300 dpi. Final web-ready size: 150 ppi. Original TIFF file housed at the Dept. Pathology, University of Pretoria.
Photo 1: Original document size: (w)8.13 x(h)6.1 cm., 178 kb, 200 ppi. Final web-ready size: 53.96 kb. Estimated download time: 20 sec. @ 28.8 kbps.
Photo 2: Original document size: (w)5.42 x(h)4.06 cm., 49.3 kb, 300 ppi. Final web-ready size: 31.24 kb. Estimated download time: 12 sec. @ 28.8 kbps.
Photo 3: Original document size: (w)8.13 x(h)6.1 cm., 143 kb, 200 ppi. Final web-ready size: 43.03 kb. Estimated download time: 16 sec. @ 28.8 kbps.
Photo 4: Original document size: (w)8.13 x(h)6.1 cm., 252 kb, 200 ppi. Final web-ready size: 77.86 kb. Estimated download time: 29 sec. @ 28.8 kbps.
Photo 5: Original document size: (w)8.13 x(h)6.1 cm., 211 kb, 200 ppi. Final web-ready size: 69.32 kb. Estimated download time: 26 sec. @ 28.8 kbps.
Photo 6: Original document size: (w)8.13 x(h)6.1 cm., 190 kb, 200 ppi. Final web-ready size: 62.85 kb. Estimated download time: 23 sec. @ 28.8 kbps.
Photo 7: Original document size: (w)8.13 x(h)6.1 cm., 178 kb, 200 ppi. Final web-ready size: 54.17 kb. Estimated download time: 20 sec. @ 28.8 kbps.
Metadata assigned by Prof JA Lawrence, Emeritus: Dept. of Paraclinical Sciences, Section of Pathology.
Light micrograph
Photo 1: Original document size: (w)8.13 x(h)6.1 cm., 178 kb, 200 ppi. Final web-ready size: 53.96 kb. Estimated download time: 20 sec. @ 28.8 kbps.
Photo 2: Original document size: (w)5.42 x(h)4.06 cm., 49.3 kb, 300 ppi. Final web-ready size: 31.24 kb. Estimated download time: 12 sec. @ 28.8 kbps.
Photo 3: Original document size: (w)8.13 x(h)6.1 cm., 143 kb, 200 ppi. Final web-ready size: 43.03 kb. Estimated download time: 16 sec. @ 28.8 kbps.
Photo 4: Original document size: (w)8.13 x(h)6.1 cm., 252 kb, 200 ppi. Final web-ready size: 77.86 kb. Estimated download time: 29 sec. @ 28.8 kbps.
Photo 5: Original document size: (w)8.13 x(h)6.1 cm., 211 kb, 200 ppi. Final web-ready size: 69.32 kb. Estimated download time: 26 sec. @ 28.8 kbps.
Photo 6: Original document size: (w)8.13 x(h)6.1 cm., 190 kb, 200 ppi. Final web-ready size: 62.85 kb. Estimated download time: 23 sec. @ 28.8 kbps.
Photo 7: Original document size: (w)8.13 x(h)6.1 cm., 178 kb, 200 ppi. Final web-ready size: 54.17 kb. Estimated download time: 20 sec. @ 28.8 kbps.
Metadata assigned by Prof JA Lawrence, Emeritus: Dept. of Paraclinical Sciences, Section of Pathology.
Light micrograph
Keywords
Dogs, Cats, Canine, Feline, Lungs, Kidneys, Nasal cavities, Thorax, Inflammation, Nocardia species, Microscopic
