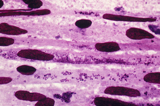
Heartwater : brain smear stained with giemsa showing numerous colonies of Cowdria ruminantium
Loading...
Date
Authors
Unknown
University of Pretoria. Faculty of Veterinary Science. Dept. of Veterinary Tropical Diseases
Journal Title
Journal ISSN
Volume Title
Publisher
Abstract
Description
Keywords
Veterinary tropical diseases, Infectious diseases, Parasitic diseases, Heartwater
