Aflatoxicosis (canine) from mouldy food
Loading...
Authors
Unknown
Journal Title
Journal ISSN
Volume Title
Publisher
Abstract
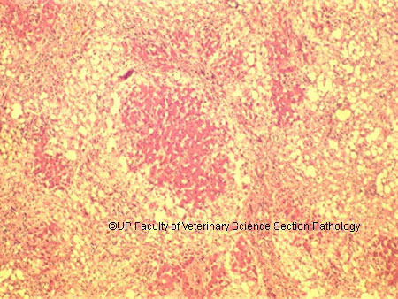
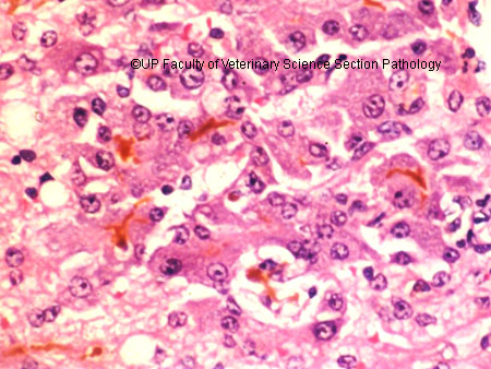
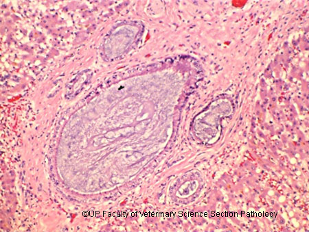
Images of post-mortem cases captured during 1979 - 1997. Departmental references to images uploaded with photo titles indicated the macroscopic lesion (PM) or microscopic slide (S), case number and year.
Description
RGB true colour photo. Original scanned size: JPEG, 200-300 dpi. Final web-ready size: 150 ppi. Photo 1: Original document size: (w)8.13 x(h)6.1 cm., 187 kb, 200 ppi. Final web-ready size: 57.83 kb. Estimated download time: 21 sec. @ 28.8 kbps. Photo 2: Original document size: (w)8.13 x(h)6.1 cm., 233 kb, 200 ppi. Final web-ready size: 69.33 kb. Estimated download time: 26 sec. @ 28.8 kbps. Photo 3: Original document size: (w)8.13 x(h)6.1 cm., 257 kb, 200 ppi. Final web-ready size: 75.42 kb. Estimated download time: 28 sec. @ 28.8 kbps. Photo 4: Original document size: (w)8.1 x(h)6.1 cm., 240 kb, 200 ppi. Final web-ready size: 72.53 kb. Estimated download time: 27 sec. @ 28.8 kbps. Photo 5: Original document size: (w)8.1 x(h)6.1 cm., 200 kb, 200 ppi. Final web-ready size: 62.5 kb. Estimated download time: 23 sec. @ 28.8 kbps. Photo 6: Original document size: (w)8.13 x(h)6.1 cm., 223 kb, 200 ppi. Final web-ready size: 69.65 kb. Estimated download time: 26 sec. @ 28.8 kbps. Photo 7: Original document size: (w)8.13 x(h)5.99 cm., 148 kb, 200 ppi. Final web-ready size: 44.48 kb. Estimated download time: 17 sec. @ 28.8 kbps. Photo 8: Original document size: (w)8.13 x(h)6.1 cm., 241 kb, 200 ppi. Final web-ready size: 67.24 kb. Estimated download time: 25 sec. @ 28.8 kbps. Photo 9: Original document size: (w)5.42 x(h)4.06 cm., 47.20 kb, 300 ppi. Final web-ready size: 32.57 kb. Estimated download time: 12 sec. @ 28.8 kbps. Photo 10: Original document size: (w)8.13 x(h)6.1 cm., 192 kb, 200 ppi. Final web-ready size: 57.98 kb. Estimated download time: 22 sec. @ 28.8 kbps. Photo 11: Original document size: (w)8.13 x(h)6.1 cm., 168 kb, 200 ppi. Final web-ready size: 45.64 kb. Estimated download time: 17 sec. @ 28.8 kbps. Original TIFF file housed at the Dept. Pathology, University of Pretoria. Metadata assigned by Prof JA Lawrence, Emeritus: Dept. of Paraclinical Sciences, Section of Pathology.
Keywords
Aflatoxicosis, Dogs, Stomach, Small intestine, Liver, Regeneration, Haemorrhage, Degeneration, Stasis, Necrosis, Microscopic
