Lasiospermum bipinnatum poisoning (ovine)
Loading...
Authors
Unknown
Journal Title
Journal ISSN
Volume Title
Publisher
Abstract
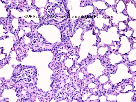
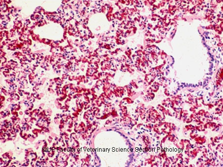
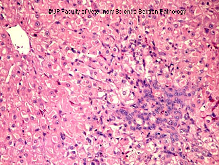
Images of post-mortem cases captured during 1985. Departmental references to images uploaded with photo titles indicated the macroscopic lesion (PM) or microscopic slide (S), case number and year.
Description
RGB true colour photo. Original scanned size: JPEG, 200-300 dpi. Final web-ready size: 150 ppi. Original TIFF file housed at the Dept. Pathology, University of Pretoria.
Photo 1: Original document size: (w)8.13 x(h)6.1 cm., 250 kb, 200 ppi. Final web-ready size: 80.09 kb. Estimated download time: 29 sec. @ 28.8 kbps.
Photo 2: Original document size: (w)8.13 x(h)6.1 cm., 253 kb, 200 ppi. Final web-ready size: 77.96 kb. Estimated download time: 29 sec. @ 28.8 kbps.
Photo 3: Original document size: (w)8.13 x(h)6.1 cm., 214 kb, 200 ppi. Final web-ready size: 66.02 kb. Estimated download time: 24 sec. @ 28.8 kbps.
Photo 4: Original document size: (w)8.13 x(h)6.08 cm., 171 kb, 200 ppi. Final web-ready size: 52.84 kb. Estimated download time: 20 sec. @ 28.8 kbps.
Photo 5: Original document size: (w)8.13 x(h)6.1 cm., 175 kb, 200 ppi. Final web-ready size: 52.88 kb. Estimated download time: 20 sec. @ 28.8 kbps.
Photo 6: Original document size: (w)8.1 x(h)6.1 cm., 158 kb, 200 ppi. Final web-ready size: 46.27 kb. Estimated download time: 17 sec. @ 28.8 kbps.
Photo 7: Original document size: (w)8.13 x(h)6.1 cm., 132 kb, 200 ppi. Final web-ready size: 34.82 kb. Estimated download time: 13 sec. @ 28.8 kbps.
Photo 8: Original document size: (w)8.13 x(h)6.1 cm., 124 kb, 200 ppi. Final web-ready size: 41.11 kb. Estimated download time: 16 sec. @ 28.8 kbps.
Photo 9: Original document size: (w)8.13 x(h)6.1 cm., 155 kb, 200 ppi. Final web-ready size: 46.43 kb. Estimated download time: 17 sec. @ 28.8 kbps.
Photo 10: Original document size: (w)8.13 x(h)6.1 cm., 147 kb, 200 ppi. Final web-ready size: 43.56 kb. Estimated download time: 16 sec. @ 28.8 kbps.
Photo 11: Original document size: (w)8.13 x(h)6.1 cm., 206 kb, 200 ppi. Final web-ready size: 67.57 kb. Estimated download time: 25 sec. @ 28.8 kbps.
Photo 12: Original document size: (w)8.1 x(h)6.1 cm., 155 kb, 200 ppi. Final web-ready size: 44.39 kb. Estimated download time: 17 sec. @ 28.8 kbps.
Light micrograph
Metadata assigned by Prof JA Lawrence, Emeritus: Dept. of Paraclinical Sciences, Section of Pathology.
Photo 1: Original document size: (w)8.13 x(h)6.1 cm., 250 kb, 200 ppi. Final web-ready size: 80.09 kb. Estimated download time: 29 sec. @ 28.8 kbps.
Photo 2: Original document size: (w)8.13 x(h)6.1 cm., 253 kb, 200 ppi. Final web-ready size: 77.96 kb. Estimated download time: 29 sec. @ 28.8 kbps.
Photo 3: Original document size: (w)8.13 x(h)6.1 cm., 214 kb, 200 ppi. Final web-ready size: 66.02 kb. Estimated download time: 24 sec. @ 28.8 kbps.
Photo 4: Original document size: (w)8.13 x(h)6.08 cm., 171 kb, 200 ppi. Final web-ready size: 52.84 kb. Estimated download time: 20 sec. @ 28.8 kbps.
Photo 5: Original document size: (w)8.13 x(h)6.1 cm., 175 kb, 200 ppi. Final web-ready size: 52.88 kb. Estimated download time: 20 sec. @ 28.8 kbps.
Photo 6: Original document size: (w)8.1 x(h)6.1 cm., 158 kb, 200 ppi. Final web-ready size: 46.27 kb. Estimated download time: 17 sec. @ 28.8 kbps.
Photo 7: Original document size: (w)8.13 x(h)6.1 cm., 132 kb, 200 ppi. Final web-ready size: 34.82 kb. Estimated download time: 13 sec. @ 28.8 kbps.
Photo 8: Original document size: (w)8.13 x(h)6.1 cm., 124 kb, 200 ppi. Final web-ready size: 41.11 kb. Estimated download time: 16 sec. @ 28.8 kbps.
Photo 9: Original document size: (w)8.13 x(h)6.1 cm., 155 kb, 200 ppi. Final web-ready size: 46.43 kb. Estimated download time: 17 sec. @ 28.8 kbps.
Photo 10: Original document size: (w)8.13 x(h)6.1 cm., 147 kb, 200 ppi. Final web-ready size: 43.56 kb. Estimated download time: 16 sec. @ 28.8 kbps.
Photo 11: Original document size: (w)8.13 x(h)6.1 cm., 206 kb, 200 ppi. Final web-ready size: 67.57 kb. Estimated download time: 25 sec. @ 28.8 kbps.
Photo 12: Original document size: (w)8.1 x(h)6.1 cm., 155 kb, 200 ppi. Final web-ready size: 44.39 kb. Estimated download time: 17 sec. @ 28.8 kbps.
Light micrograph
Metadata assigned by Prof JA Lawrence, Emeritus: Dept. of Paraclinical Sciences, Section of Pathology.
Keywords
Sheep, Ganskweek, Lungs, Congestion, Liver, Hyperplasia, Metaplasia, Degeneration, Pericardium, Emphysema, Lung, Collapse, Necrosis, Oedema, Haemorrhage, Inflammation
